买DR千万避免购买静态DR
近年来,医院就诊的人数越来越多,但是对DR设备的采购数量需求却越来越小,更多的是偏向CT机器。究其原因,正是因为传统静态DR无法满足三维扫描,且由于平片上的组织重叠、拍摄角度等因素的影响造成漏诊误诊概率大,但是这些传统静态DR的缺陷,在动态DR上可以极大程度的避免。所以在购买DR时,千万避免购买静态DR。
01.动态DR相比静态DR功能更加全面、诊断更精准
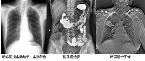
不同于常规静态DR只能进行平片摄影检查,动态DR可以实现多模态的检查。包括数字化摄影、数字化透视、数字化造影、可视化点片、尘肺筛查、断层融合功能检查、DSA功能检查、全脊柱及双下肢拼接检查、动态功能成像等多模态检查,相较于静态DR具有更加丰富的临床应用。不止可以应用于放射科,还可以应用于体检科、内科、外科、骨科、急诊科等,应用的科室更加广泛。
(上图取自安健科技动态DR腾灵系列影像)
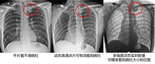
由于静态DR的不可视化,在一些特殊的检查上,需要凭借医生的临床经验才能获取有效影像,例如寰枢关节正位摄影,常常需要多次摄影才能得到有效影像;骶尾椎摄影,常常会因为盆腔内容物而导致平片上观察不清楚;还有胸部正位,由于内脏的遮挡,也常会出现漏诊误诊等等。而动态DR依靠可视化瞬时高清点片,极速精准获取有效信息,同时可即时回放视频信息,可以有效降低误拍次数,获得更加精准的影像信息,减少患者不必要的射线剂量和因误拍造成的多次摄影的时间成本。
(上图取自安健科技动态DR腾灵系列影像)
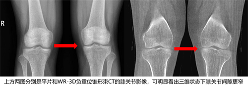
02.动态DR可实现立位三维高级成像
在实际工作中,由于静态DR摄影是二维影像,存在骨骼的重叠、拍摄位置及角度偏差、肢体旋转等局限,对病变细节的显示影响因素多,对于重叠病灶、微小模糊的病灶、隐匿性病灶等问题无法进行精准诊断,容易造成漏诊误诊。
目前的动态DR不仅支持动态摄影检查,还可以实现站立位下的三维高级成像。例如安健科技最新研发的WR-3D负重位锥形束CT摄影,使用大C的Cone Beam锥束成像技术,采用平板探测器作为X线探测设备,X线和探测器环绕患者进行圆周运动实现不同角度的数据采集,并通过三维重建算法重建出患者扫描部位的三维容积图像。相对于螺旋CT具有更大的锥角及更大的Z轴覆盖范围,更低的剂量、空间分辨率更高等特点;相比静态DR,可以更精准的反应患者的真实情况,帮助医生更好的做术前规划和制定手术方案。
(图像出自安健科技)
03.动态DR是所有新技术应用的生态平台,代表未来所有DR的趋势
动态DR是所有新技术应用的生态平台,相比静态DR拥有更加广阔的发展空间和更加前沿的新技术,现在包括GE、西门子、安健科技等各大行业顶尖医疗器械公司都在往动态DR上的发展,所有DR的新技术,包括能谱技术、动态功能化成像技术、WR-3D负重位锥形束CT摄影、断层融合扫描摄影等都需要动态DR作为基础,而这些新技术早已经在医疗检查中不可或缺,并且得到医院的一致认可,而静态DR则无法支撑以上新技术。
并且动态DR新技术正在不断开发与迭代,而静态DR则原地踏步,行业大势之下,静态DR的淘汰已见端倪,动态DR才是未来所有DR的趋势,代表未来所有DR的新技术。
(上图取自安健科技移动动态DR系列影像)
值得一提的是,国内第一台动态DR的制造商深圳市安健科技股份有限公司,在动态DR的道路上已经前行很远。安健科技是中国第一台国产数字化动态探测器领航者;是全球第二,中国第一台动态数字化X线机的发明者;中国第一台立位锥束断层X线摄影系统发明者;全球第一台动态多功能成像移动式X光机的发明者,并且连续十年中国销量与市场占有率保持前二,其中六年销量第一。在未来,相信安健科技也会带给我们更多动态DR的新技术,继续在动态DR这条道路上领航前行,为临床使用创造更多的价值!
综上所述,动态DR相比静态DR拥有更加全面丰富的功能,可应用于更多的科室,摄影检查中能够显著提高病灶检出率,降低漏诊误诊。最重要的是,动态DR才是未来行业的新趋势,是所有新技术应用的生态平台,代表未来所有DR的新技术,静态DR只会被行业淘汰。所以在购买DR时,千万避免购买静态DR。







