动态功能移动X线机:重新定义床边X线机
01 疫情中崛起的移动DR
1895年,德国物理学家伦琴发现X射线,从此开启了人类医学诊断的新纪元。经过百余年发展,X射线摄影技术愈加成为医学影像诊断的中坚力量。美国公司Northeast Electronics Corporation于1975年推出的第一台移动X线机,这款和CT几乎是同时间出现的设备名为"Nomad",被认为是第一款便携X线设备。从此,床边拍片变得简便。到后来,移动DR因其便携性、可移动性、操作灵活、摆位方便、占地面积小等优势,被誉为“车轮上的放射科”,在抗击新冠疫情中成为了重要筛查设备。据行业数据显示,仅2020年一季度移动DR装机量就达到了2019年全年的近150%,而后者已经创下了历史最高年装机量。
02 床边X线机临床应用的新探索
而在后疫情时代,不论医院的规模多大或多小,移动DR已经成为医疗机构必备的设备之一。各地出台的《公共卫生防控救治能力建设方案》中总有移动DR相关的要求;而在今年下半年,移动DR更是纳入了《县级综合医院设备配置标准》,该标准对县级综合医院移动DR的配置提出了更高的要求,这毫无疑问将为购置移动DR的热度更添一把火。
目前在市场上,移动DR市场主要由国内外知名品牌占据,如联影、安健、GE等。移动DR市场新想法百花齐放,便捷摆位、远程云服务、AI辅助诊断等等技术层出不穷,竞争异常激烈。
虽然各个厂家研发方向做的不同的探索有目共睹,但是考虑到移动DR实际的使用场景是在ICU、急诊、病房等。而急诊/ICU常见的场景是,一些危重患者(如肺栓塞或慢阻肺)因为呼吸运动功能不足,造成急性器官缺血缺氧,常常在短时间内病情急速恶化,危及生命。因此,对这些一线科室来说,更需要的是一款能够快速反应,准确、直观地监测生命体征,病程定性定量分析评估的设备。一线科室对影像设备有更高的需求,这需求绝不仅是拍完个胸片就推走。
技术真正赋能临床和实际使用,能够满足这些临床科室的高级需求才代表未来技术潮流。因此小编认为,在众多技术路线中,动态诊断方案最有可能成为未来影像诊断方式和科研平台。
03 动态诊断方案:未来悄然已来
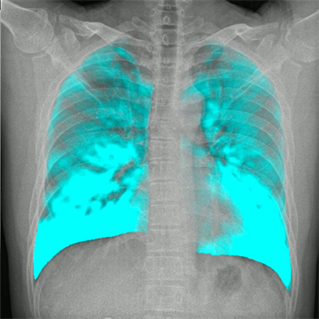
影像动态化可谓是近年来临床最火热的研究方向之一,与常规的静态平片不同的是,这项技术让临床平片“动”起来,但不仅仅只是“动”起来。在一个时间单位内低剂量高速获取多帧X线影像,得到连续动态摄影图像,看动态图像,不仅仅是看的更“准”一点,更多的是,影像诊断方式,向功能化上更进了一步。
能够最直观体会到动态DR直接的优势是,规避组织混叠的影响,相比于单张的图片,即使是一小段动态影像,也对确定诸如结节、细微骨折的病灶更有裨益的。更重要的层面是,这项技术让数字化X光摄影从二维解剖成像向运动成像、器官功能成像迈进。未来这项技术如果结合高级图像算法和人工智能/大数据,那将是是目前发展上限最高、潜力最大的技术路线,很有可能会成为革命性的下一代影像诊断主流方案。而搭载了动态影像功能的移动X线机毫无疑问将重新定义移动X线机。
04 “床旁+动态”的新视野
以安健科技最新发布的移动动态DR为例,这台全球首台移动动态DR给急诊和危重症患者提供的全新的动态影像方案。移动动态DR史无前例的将动态影像检查带到了床旁,提高了难以移动的急诊危重症床旁患者的影像诊断效率,危重症患者需要更高级的床旁影像技术,而在往常,这种高级成像的功能在床旁是无法实现的。
这场技术上的碰撞将毫无疑问发挥“1+1>2”的效果。移动DR机器面临的场景和固定DR是不同的,搭载上动态技术的机型将更好地赋能临床,服务ICU、手术室和隔离重病病房、床旁重症的患者。
例如,关节置换病人不宜搬动,可在床旁进行动态影像检查,若膝骨关节炎达到重度而无法搬移到检查室,此时就可方便地将移动动态DR推到床旁,用动态影像评估关节活动度。在病人无法站立,甚至无法行CT检查时,移动动态DR提供为数不多的床旁关节运动功能影像和评估,方便医生设计后续治疗方案。
又例如,老慢支、肺气肿、膈麻痹的患者往往呼吸功能不足,通过移动动态DR够对患者的呼吸运动功能做定量分析。给急诊、ICU中患者的呼吸运动功能的评估提供更加直接的影像证据。通过动态成像采集到的肺容积的信息,流速、流量等等信息,以及肺部的投影面积的信息,实时、准确、迅速、直观地监控肺通气状态,监控肺缺血缺情况,快速响应,在危急时刻及时发现并挽救急性肺栓塞患者。
除此之外,因为兼具了动态成像的多功能性和移动机型的优越的灵活性,这个机器展现了造福临床广阔的适用性,例如床旁引导PICC置管、床旁引导输液港植入、床旁引导各类引流插管小手术等等,造福多科室,以往,行这类手术往往是护士依靠自身经验,而现在在动态可视化影像的引导下,这类插管置管手术能进行得更加顺利。不用任何影像引导的话,“盲穿”就全凭技术人员的感觉和经验,此时,移动动态DR给置管的准确性带来了可靠的影像学评估方法。
不光如此,作为一台移动机型这台机器能为科室带来科研的机会,比如胸部成像和运动关节成像肺气肿、慢阻肺之类测量肺面积等等.........
当前国内市场,除了移动动态DR,似乎暂未发现另一台移动设备拥有高级功能,相信在未来,在动态影像平台上,新的检查模态得以广泛开展,为临床带来更多的创新。这就是重新定义移动X线机的移动X线机——动态功能移动X线机。,希望国内市场能够涌现多一点相似的设备,中国医学装备医工结合的道路更宽、更顺。







