安健科技发布新一代芳华3D与能谱乳腺DR
50度超广角三维体层与近3000万像素能谱成像乳腺DR,开启乳腺精准诊断新纪元
在乳腺癌早筛早诊日益受到全球关注的背景下,影像设备的技术革新正成为提升诊断准确率、降低患者焦虑、优化临床流程的关键。近日,安健科技正式发布两款新一代乳腺X线摄影系统——芳华3D PRO系列与芳华3D能谱 ULTRA 系列,以其行业领先的50度超广角三维体层摄影技术、近3000万像素CMOS探测器、能谱成像与人性化便捷摆位设计,全面推动乳腺影像迈向更高维度。
01 芳华3D PRO 系列:以50度超广角断层,重塑三维乳腺影像标准
芳华3D PRO乳腺DR主打50度超广角三维体层摄影(DBT),是目前行业中最大角度的断层成像系统。相比传统15°、25°的小角度系统,50°断层在Z轴(深度方向)分辨率上具有显著优势,能够获得更薄的层厚,清晰呈现病灶在乳腺压迫方向上的深度信息与边界形态。
芳华3D PRO乳腺DR具备三大核心优势:
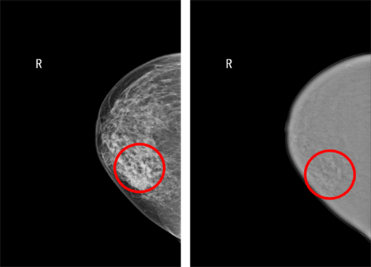
第一,具备行业最大50度超广角三维体层摄影。首先通过消除二维摄影中腺体组织重叠带来的干扰,50度广角DBT能真实还原乳腺结构,尤其适用于致密型乳腺患者,显著提升早期浸润癌的检出率。临床研究显示,该技术可将浸润性导管癌检出率提高43%。其次,广角断层能够清晰显示肿块边缘形态(如光滑、分叶、毛刺)及连续层面的结构扭曲,为良恶性鉴别提供高质量影像依据。
(GIF)
第二,近1300万高清像素,极致成像。芳华3D PRO配备了高分辨率探测器,能够清晰捕捉毫米级别的微小钙化病灶,呈现更为细腻的乳腺组织结构,为临床医生提供更丰富的诊断信息,尤其有助于早期微小病变的识别与评估。
第三,180度镜像便捷摆位设计,极大优化了技师的操作流程与患者的检查体验。首先,球管与影像探测面可不在同一位置,方便医生站立位摆位,有效解放医生身体,提升摆位质量。其次具备摆位记忆功能,在自定义MLO位拍摄角度后,另一侧可通过摆位记忆功能一键到位,无需重复手动调整,大幅提升工作效率。最后能有效提升甲片率,便捷摆位模式减少了因摆位不当导致的重复拍摄,提高了首次拍摄成功率。
02 芳华3D能谱 ULTRA系列:能谱成像与三维断层双擎驱动,开启功能影像新时代
在芳华3D PRO的基础上,安健科技进一步推出芳华3D能谱ULTRA系列,将50度超广角三维体层摄影与高清能谱成像(CESM)深度融合,成为行业首款近3000万像素的能谱乳腺DR系统。
芳华3D能谱ULTRA系列不仅具备芳华3D PRO所有核心优势,还在芳华3D PRO的基础上,升级了以下三大优势:
第一,搭载近3000万像素CMOS探测器,超越物理极限的成像精度。传统乳腺机多采用非晶硅或非晶硒探测器,像素尺寸存在局限。而芳华3D能谱ULTRA系列搭载的CMOS探测器,实现近3000万像素的超高清成像。在同样视野下,其信息量是传统设备的3倍以上,可清晰识别0.1mm以下的微小钙化点,为早期乳腺癌捕捉关键信号。
第二,CESM能谱成像,实现功能与解剖的完美融合。CESM技术通过静脉注射碘对比剂后,在单次压迫下完成低能与高能两次曝光,经减影处理后生成突出显示病灶血供的“减影图”,有效抑制致密腺体背景干扰。
(左侧为低能图,右侧为高能图)
CESM能谱成像临床价值显著,首先对于致密乳腺患者的诊断更精准,减影技术使隐藏于致密腺体中的强化病灶清晰显现,成为致密型乳腺患者的优选检查方式;其次,对于非肿块样病变的鉴别能力更强,对结构扭曲、不对称致密等病变,CESM的BI-RADS分类诊断准确率可达80.9%;再者,对于术前评估与分期更可靠,CESM在多灶病变检测准确率达96.5%,肿瘤大小测量与病理符合率63%(常规摄影仅34%),T分期准确率高达94%;最后,帮助新辅助化疗疗效评估,通过量化参数变化,可早期预测病理学完全缓解(pCR),为治疗方案调整提供依据。
第三,功能影像与三维结构成像的双重优势。与乳腺MRI相比,CESM在保持高敏感度的同时,特异性更高(67%-76% vs 33%-51%),假阳性率更低,且能同时显示微钙化与强化病灶,对导管原位癌(DCIS)等病变具有不可替代的独特优势。检查时间仅需7-8分钟,成本更低、禁忌症更少,适合更广泛的人群。
03 引领行业未来:从结构成像走向功能-结构融合
安健科技此次发布的两款新品,不仅代表了国产乳腺影像设备在核心技术与关键部件上的突破,更反映了乳腺影像未来的发展方向。
首先,大角度断层成为行业主流。50度超广角DBT已获多项国际研究验证,其在深度分辨率、病灶显示能力、阳性预测值等方面的优势,正在推动乳腺断层成像从“有无”向“优劣”转变。
其次,能谱成像从补充走向核心。随着ACR BI-RADS v2025将CESM升为核心章节,能谱成像正从科研工具走向临床常规。安健科技率先实现近3000万像素CESM,为精准诊断提供了更高维度的信息支撑。
最后,智能化、人性化设计的机械设计。从等中心设计、一键摆位、压迫盘自动识别,到轮椅位支持、智能柔性压迫,安健科技在设备易用性、患者舒适度、操作安全性等方面全面优化,真正实现了“技术为人服务”。
安健科技新一代芳华3D PRO系列与芳华3D能谱ULTRA系列,以50度超广角三维体层与近3000万像素能谱成像为核心,构建了从结构影像到功能影像、从精准诊断到高效流程的完整解决方案。在全球乳腺癌筛查与精准诊疗需求不断提升的今天,安健科技正以自主创新之力,引领乳腺影像迈向更清晰、更智能、更人性化的未来。
芳华3D PRO,看见更深的真相;芳华3D能谱 ULTRA,洞察更早的信号。







